Видове белодробна еозинофилия:
- Остра еозинофилна пневмония
- Синдром на Loffler – обикновена еозинофилна пневмония.
- Тропична еозинофилия при филария
- Вторична еозинофилия ( паразити, гъби, бактерии, лекарствени алергии ).
- Идиопатична хронична еозинофилна пневмония
Острата еозинофилна пневмония е остро заболяване с неясна причина. Болните са с висока температура с дихателна недостатъчност. Лекуват се с кортикостероиди.
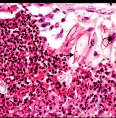
Синдромът на Loffler е с доброкачествено протичане. При синдрома на Loffler лезиите са преходни и няма васкулит, фиброза или некроза( липсват ). Стените на алвеолите са задебелени ( Еозинофили ).
Бронхиалната астма представлява спазъм на гладката мускулатура на бронхите или бронхиалната астма е хронично възпалително заболяване на въздухоносните пътища, с пристъпи на задух поради спазъм на гладката мускулатура на бронхите.
Видове бронхиална астма:
- Външна ( атопична, алергична ) – алергени: храна, полени, прах.
- Вътрешна ( неатопична ) – инициация от инфекции (вируси ), лекарства(аспирин), химични дразнители.
Бронхиалната астма е в резултат на реакция от 1тип свръхчувствителност. По време на астматичен пристъп ( status asthmaticus ) имаме – остър емфизем, ателектази, слузни запушалки. При дългогодишно заболяване от бронхиална астма се развива хронична обструктивна белодробна болест ( ХОББ ).
В бронхиалният лумен при болни с бронхииална астма се намират:
- Слузни запушалки с Еозинофили
- Кристали на Шаркот – Лайден

- Спирали на Кършман

Имаме хиперплазия на бронхиалният епител с чашковидноклетъчна метаплазия. (в резултат на непрекъснатият спазъм на бронхите ). Имаме задебелена базална мембрана.
Синдромът на Чърч – Щраус е богато на еозинофили грануломатозно възпаление, засягащо респираторният тракт и некротизиращ васкулит на малките съдове
Характерна триада при синдромът на Чърч – Щраус:
- Остри некротизиращи грануломи.
- Нектотизиращ васкулит на малки и средни съдове.
- Бъбреци с некротизиращ полулунен гломерулонефрит
Грануламотоза на Вегенер е в резултат на Т – клетъчно медиирана хиперсензитивна реакция вероятно към инхалирани инфекциозни или други агенти. Има 2 форми – ограничена ( наличие на единични грануломи някъде ) и дифузна ( пръснати грануломи ). Има анти-неутрофилни цитоплазмени антитела – 95% ANCAS.
