
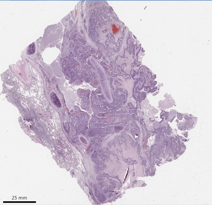
Виждам бял дроб. Отляво е разположен бронх (хиалинен хрущял ), участък с метаплазия, преминаване на едноредния цилиндричния респираторен епител в многослоен плосък и дисплазия. Инфилтрация в стената на бронха от гнезда и повлекла от атипични плоскоепителни клетки, зони на некроза, кератин и стромна реакция.
Въпроси?
- Макроскопски форми на карцинома на белият дроб? – голям прехилусен възел, малък прехилусен възел, периферен, панкуаст тобиас, инфилтративна, пневмонични форма.
- Защо плоскоклетъчният карцином е най-чест в белите дробове?
Заради метаплазия.
- Цитологично на какво се делят карциномите на белите дробове?
На дребно и недребноклетъчен. Пример за дребноклетъчен карцином е невроендокриният, а пример за недребноклетъчен е аденокарцином.
