Темата “застрашен плод” е сборна и обхваща патология при жената преди и по време на бремеността, а така също и съпътстващите бременността заболявания, които оказват влияние върху интраутеринно развиващият се плод. Ефектите върху плода са в широк диапазон. От сформирането на малформации още в първите гестационни седмици, някои от които несъвместими с живота, до интраутеринна ретардация на нормално развит плод, която ако не се диагностицира навреме, завършва с exitus in utero или intrapartum. Етиологичните фактори са многобройни и разнообразни.
Остри инфекциозни болести :
- Рубеола – рисковият период обхваща времето малко преди забременяването до 16-20 гестационна седмица. Рубеолният вирус има изключителен афинитет към ембрионалната тъкан, в която прониква чрез кръвоносните съдове на плацентата. Развива се рубеолна ембриопатия, изразяваща се в смърт на плода в първите гестационни седмици до развитие на катаракта, микроофталмия, ретинопатия, сърдечни пороци и други.
- ГРИП – грипната инфекция се съпровожда от краткотрайна виремия, която може да доведе и до вътреутробна инвазия, последвана от аборт, мъртво раждане, преждевременно раждане и малформации. Според редица автори най-честите аномалии са вълча устна, дефекти на невралната тръба и кардио-васкуларни малформации. Възможна роля в генезата на малформациите имат и приеманите лекарства от бременните по повод заболяването от грип.
- Сифилис – хронична инфекция, която води до аборт, раждане на мъртъв плод или дете с вроден луес в зависимост от момента на инфекцията.
- Зоонози – Токсоплазмоза, която води най-често до мозъчни аномалии, листериоза до чернодробни увреждания, бруцелоза – аборти или преждевременни раждания.
- СПИН – предаването на инфекцията от серопозитивна майка на плода става трансплацентарно и чрез кърмене на новороденото. Това налага да се търсят у новороденото клинични прояви на СПИН: микроцефалия, мозъчна атрофия, смущения в развитието, олигофрения в по-късния етап на развитието му.
- Диабет и бременност – тежко усложнение е диабетната нефропатия. Диабетната нефропатия е специфично бъбречно поражение, което е израз на диабетната микроангиопатия, ангажираща кръвоносните съдове на бъбрека. Клиничните изяви са повишено кръвно налягане, отоци, анемия, масивна протеинурия/ 5-10 грама за 24 часа/. Бременността често се усложнява с прееклампсия и еклампсия, оточен синдром, бъбречни инфекциии. Диабетът влияе изключително неблагоприятно върху развитието на плода: фетален гигантизъм със свръх тегло – макрозомия, дължаща се на хиперинсулинемия, най-вече след 28 гестационна седмица. Феталната макрозомия се съчетава с висцеромегалия – сърце, черен дроб, слезка. Вродените малформации са 10- 12 пъти по-чести в сравнение със здравите бременни.
Най-честите аномалии са “синдром на каудална дистрофия” – аномалии на лумбосакралните елементи на гръбначния стълб, аномалии на фемурите, на илиачните кости, урогенитални аномалии. Освен това дефекти в сърдечната преграда, в развитието и на ЦНС.
- Сърдечно-съдови заболявания – сърдечните заболявания, вродени или придобити, често се усложняват през бременността, ако липсва лекарски контрол от кардиолог. Най-често срещанато съдово заболяване е есенциалната хипертония. Обикновено през втората половина на бременността се развива прееклампсия с плацентарна инсуфициенция, която води до интраутеринна ретардация на плода.
- Ендокринни болести – преди всичко заболяванията на щитовидната жлеза. Феталната тиреотоксикоза – най-често след 24-тата гестационна седмица. Обикновено сърдечната честота е над 160 удара в минута, ускорено костно узряване и ИУРП ( интраутеринна ретардация на плода ), която може да причини и интраутеринна смърт. Тиреостатиците нямат тератогенен ефект и се приемат по време на бременността. Йодният прием е изключително важен през време на бременността. В районите с йоден дефицит, честотата на конгениталния хипотиреоидизъм е над 30 %, който се свързва с кретенизъм, конгенитални аномалии и смърт на плода.
- Хематологични заболявания –
- Мегалобластна анемия –недостиг на фолиева киселина и витамин Б12. Влиянието върху плода се изразява в ИУРП, което води до спонтанен аборт, преждевременно раждане или интраутеринна смърт.
- Таласемия майор – до бременност рядко се стига, но ако все пак настъпи такава, то тя се прекъсва спонтанно или преждевременно. Плодът е хидропично променен и често загива in utero или след раждане.
- Таласемия минор – болестта се развива при хетерозиготни носители на таласемичния ген. Клиничната картина е по-слабо изразена в сравнение с тази при таласемия майор.
- Хронични бъбречни заболявания – винаги се усложняват с прееклампсия, ИУРП до смърт in utero. При тежките форми рискът за плода при раждане per vias е много висок.
- Адолесцентна бременност– проблем както по отношение износването на плода така и по време на раждането. По-чести са спонтанните аборти, преждевременни раждания, по-висок морбидитет и морталитет.
- Възрастни primi gravida – primi gravida е всяка жена над 35 години/ соматични заболявания, генетични аномалии/. Затова при бременни над 35 години се провежда изследване за генетично заболяване на плода.
- Висок мултипаритет – над 5 или повече раждания. Проблемът се асоцира с възрастната primi gravida. Акушерската патология е най-често прееклампсия. При това усложнение на бременността се развива плацентарна инсуфициенция, която обикновено води до интраутеринна ретардация на плода ( ИУРП ).
- Многоплодна бременност- рискова бременност по отношение на износването на плодовете и по време на раждането.
- Резус имунизираната бременност – опасност от развитие на хемолитична болест, която да доведе до интраутеринна смърт на плода, или след раждане до обменно кръвопреливане.
Не бива да се забравя околната и професионална среда, в която живее и работи бременната жена. Радиацията, химическите вещества, предписването и приемането на лекарства несъобразени с бременността, имат отрицателни ефекти върху in utero развиващият се плод.
Ултразвукова диагноза на застрашеният плод:
- Ултразвукова биометрия на плода – бипариетален диаметър. Само едно измерване не може достоверно да диагностицира развитието на плода. Много по-голяма точност има динамичното проследяване на бипариеталният диаметър в хода на бременността. Може да се открие персистиращо забавено темпо в нарастването на бипариеталният диаметър до края на бремеността, а може да се открие в началото – нормално темпо на нарастване, след което скоростта на растеж рязко намалява или спира.
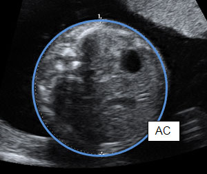
- Обиколка на корема на плода прогнозира и диагностицира по точно феталната ретардация в сравнение с ВРД и дължината на фемура. Следователно серийното изследване на обиколката на корема е метод на избор за откриване на ИУРП.


Биохимична диагноза:
- In utero БХД може да се постави чрез кордоцентеза. Пъпната връв на fetus се пунктира под УЗ контрол след 18 гестационна седмица. Предпочита се пунктиране на пъпната вена, като кръвта се използва за извършване на различни изследвания.

Магнитен резонанс :
- Метод с много добра разделителна способност, отразява в подробност изследваните тъкани и органи. MРТ има редица предимства при диагноза на аномалии на плода и по специално при аномалия на ЦНС, при случаи с хипотрофия на плода със или без олигохидрамнион. Намира приложение също при пелвиметрията, като дава много точни данни за костната система на майката и за анатомията на плода, за диагноза на извънматочна бременност. Сериозно е предимството на МРТ за диагноза на мозъчните увреждания на новороденото и в периода на детството.
Други изследвания:
- Определяне кариотипа на плода.
- Кръвна картина.
- Кръвно-газов анализ – при ретардирания плод често е налице хипоксия, която се манифестира със следните промени.
- Ацидемия, хиперкапния, хиперлактатна ацидемия.
- Фетална еритробластоза.
- Хипогликемия.
