Ретиноскопията и работното разстояние: техника и практически съвети
Определяне на рефракцията: Рефракцията се изследва с обективни и субективни методи. Чрез обективните методи лекарят има възможност да определи вида на рефракцията и степента на аметропията или астигматизма, без да получава отговори от изследвания. Субективните методи се базират изцяло на отговорите на изследвания. Обективно изследване на рефракцията се извършва чрез скиаскопия, рефрактометрия, директна офталмоскопия. Субективно…
Анатомия на зрителните пътища. Хемианопсии. Квандратопсии.
Зрителните пътища провеждат светлинното дразнене, трансформирано в нервен импулс от ретината до коровото представителство на зрителната система в областта на sulcus calcarinus. В зрителният път се различават 4 неврона, 3 от които започват от ретината: фоторецепторни клетки ( пръчици и конусчета ), биполярни клетки, ганглийни клетки и клетки в corpus genicalatum laterale с техните аксони.Четвъртият…
Предна исхемична оптикопатия
Определение. Етиология. Патогенеза. Клиника. Диагноза. Предна исхемия на зрителният нерв( ПИЗН ) За ПИЗН в световната офталмологична литература има много синоними – оптичен неврит, исхемичен оптичен неврит, атеросклеротичен папилит, инфаркт на зрителният нерв, съдов псевдопапилит, предна исхемична оптична невропатия и др, които говорят за развитието на познанията за етиологията и патогенезата на това заболяване. Определение:…
Ендофталмит
Ендофталмит Ендофталмитът представлява вътреочно възпаление, ангажиращо основно предната камера и кухината на стъкловидното тяло. Терминът се свързва обикновено с инфекциозен процес ( инфекциозен ендофталмит ). По рядко е в резултат на неинфекциозна нокса – задържани лещени маси или токсична субстанция въведена в окото при травма или вътреочна операция( неинфекциозен, стерилен ендофталмит ). Прилежащите очни структури…
Алергичен ринит в детска възраст
Алергичният ринит (AP) е най-честото алергично заболяване. Честотата му достига до 20-25% от населението на Европа. Над 600 милиона пациенти по света страдат от алергичен ринит. През последните 25 години процентът на страдащите от това заболяване е нараснал три пъти. Боледуват главно подрастващи и млади хора – 1-15% от децата на 6-7 години и 2-40%…
Анамнеза. Основни части на анамнезата.
Основен документ, който съдържа всички медицински данни при лечението на болния в болнична обстановка е история на заболяването (ИЗ).ИЗ съдържа следните данни:1. Регистрационни данни на болния ( паспортна анамнеза ):- Трите имена.- Пол.- Възраст.- Местожителство.- Адрес- Професия.- Семейно положение.- Адрес на близките.- Деня и часа на приемането в здравното заведение и изписването.- Имената на лекуващият…
Придобити неонатални инфекции при новородени
Придобитите неонатални инфекции биват: Локализирани -кожа и видими лигавици, бели дробове, гастроинтестинален тракт, кости, стави и др. Системни – сепсис, септикопиемия. Инфекции на кожата. Най-чест етиологичен причинител е Staph. Aureus. Той причинява пустулозни, булозни промени по кожата, абцеси и флегмони. Лечението се провежда с локално приложение на багрила и антибиотици, както и парентерална/ мускулно или…
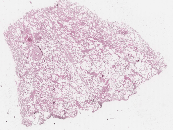
Бронхиектазии
Виждам бял дроб(алвеоли, бронхи, хиалинен хрущял и кръвоносни съдове ). Бронхите са дилатирани и разширени в сравнение с кръвоносен съд в съседство. В лумена на част от бронхите възпалителен инфилтрат ( ексудат ). Въпроси? Видове бронхиектазии? – от учебника. Усложнение на бронхиектазиите? Бронхиектатичната болест – секрета се задържа ( възпаление ) и може да доведе…
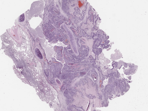
Плоскоклетъчен карцином на бронха
Виждам бял дроб. Отляво е разположен бронх (хиалинен хрущял ), участък с метаплазия, преминаване на едноредния цилиндричния респираторен епител в многослоен плосък и дисплазия. Инфилтрация в стената на бронха от гнезда и повлекла от атипични плоскоепителни клетки, зони на некроза, кератин и стромна реакция. Въпроси? Макроскопски форми на карцинома на белият дроб? – голям прехилусен…
Something went wrong. Please refresh the page and/or try again.
Follow My Blog
Get new content delivered directly to your inbox.
